
Premium Clear Aligners
Precision-engineered orthodontic solutions designed for modern dental practices
Digital Treatment Planning
High-resolution intraoral scans with STL validation ensure mesh integrity and prevent distortion during digital modeling.


Complexity classification by movement type with feasibility analysis and realistic outcome prediction.
Tooth segmentation with 0.2mm incremental movements. Attachment placement and IPR planning for optimal control.
We have two standard time one is standard which is 24-48 hours and other one express which is only 8 hours
Data Acquisition
Case Assessment
Digital Planning
Turnaround Time
01
02
03
04


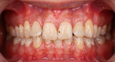
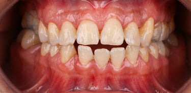
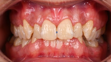
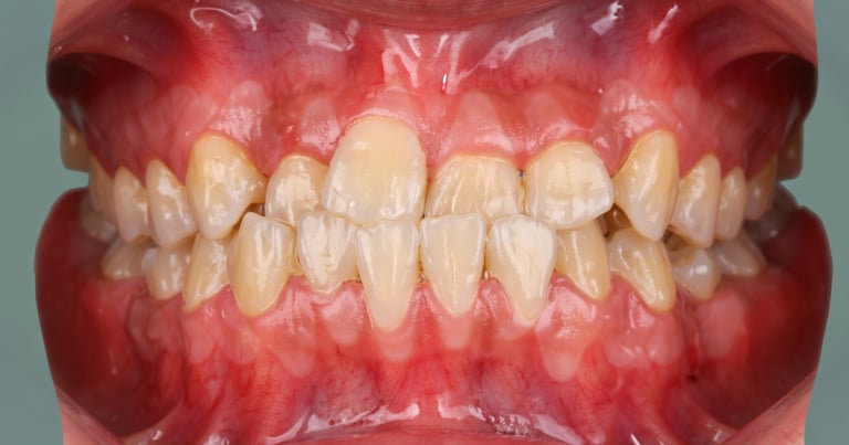
Clinical Presentation
Overlapping anterior teeth causing uneven bite distribution, compromised aesthetics, and difficulty maintaining oral hygiene.
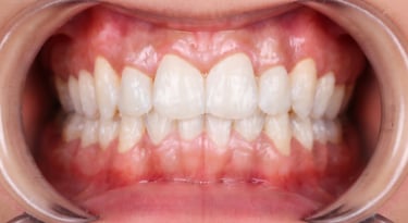
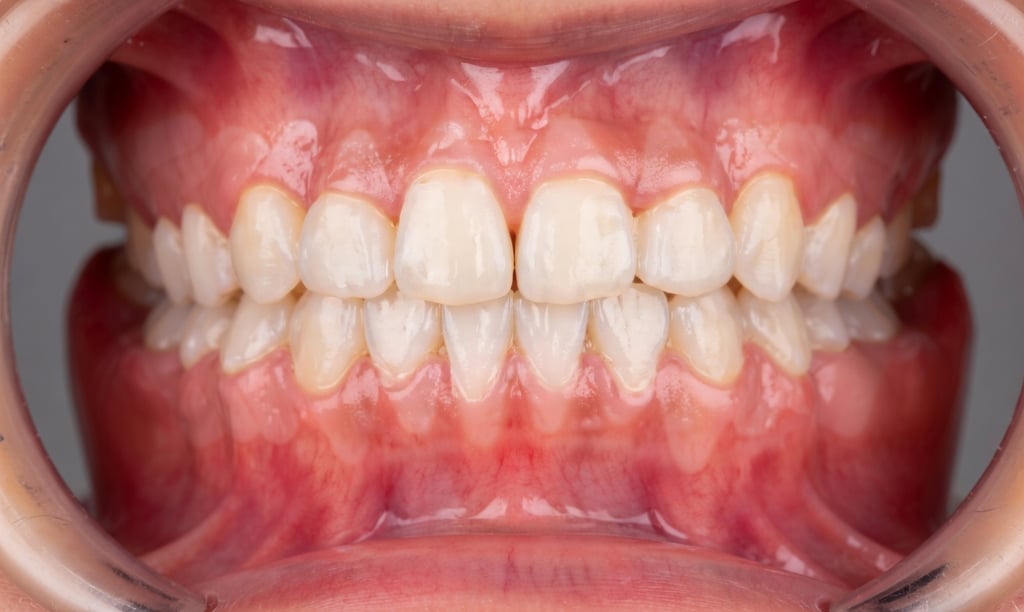
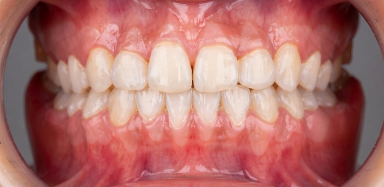
Treatment Strategy
Arch expansion with interproximal reduction (IPR) and controlled proclination. 0.2mm incremental movements staged over 18-24 months.
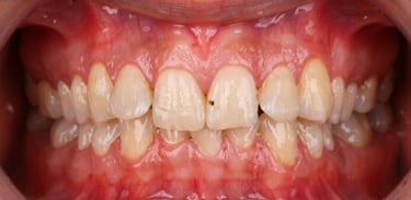
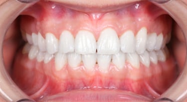
Smooth, evenly spaced teeth with proper occlusion. Improved arch form and enhanced aesthetic appearance.
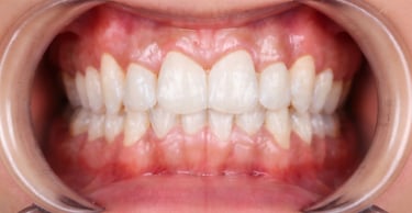
Treatment Outcome
Crowding Correction
87%
81%
18-24
Upper Arch Accuracy
Lower Arch Accuracy
Months Treatment










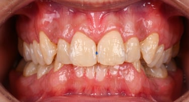
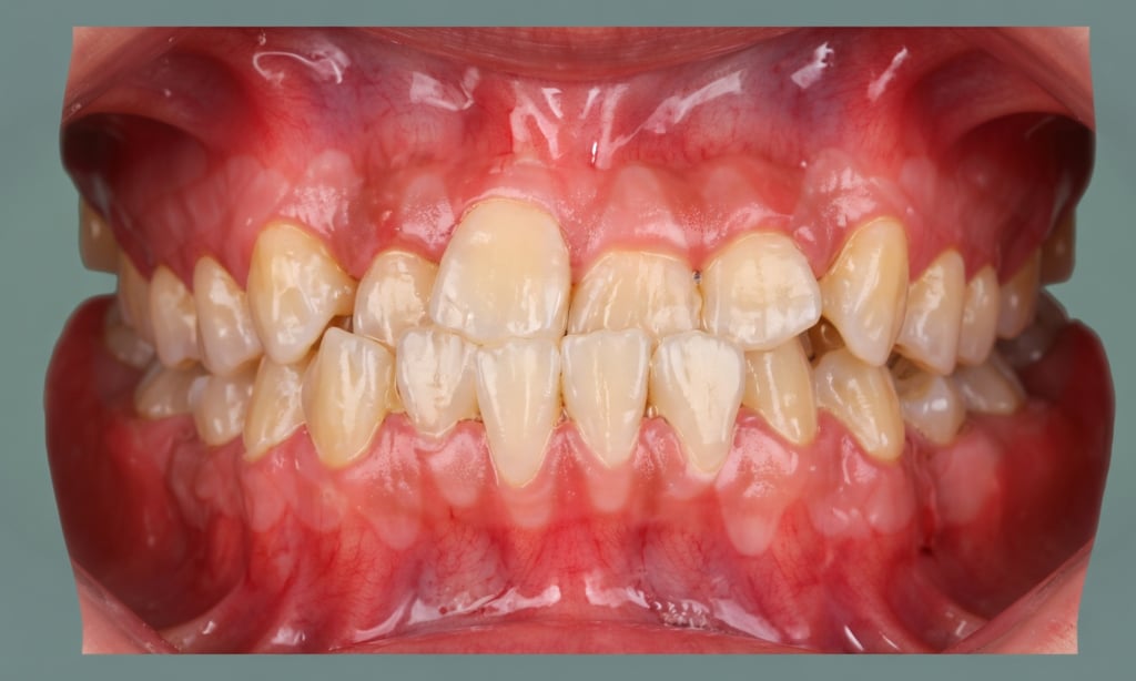
Clinical Challenge
Vertical gap between upper and lower incisors causing functional impairment with chewing and speech difficulties.
Mechanics Applied
Anterior extrusion with posterior intrusion. Optimized attachments for reliable tooth movement with vertical control.
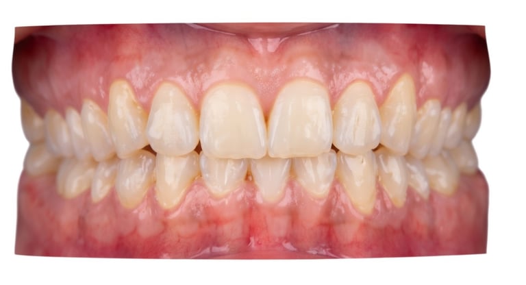
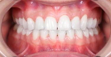
Normal bite with full incisor contact. Restored function and improved facial aesthetics with stable outcome.
Final Result
Open Bite Correction
3.27mm
66.7%
24-36
Average Overbite Improvement
ClinCheck Accuracy
Months Treatment






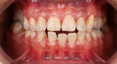
Initial Condition
Excessive overlap of front teeth beyond one-third of lower incisor crown, causing potential trauma and aesthetic concerns.
Treatment Protocol
Anterior intrusion with posterior control using bite ramps. Vertical rectangular attachments for anchorage.
Balanced bite with corrected overlap and improved lower facial height. Normal functional occlusion achieved.
Corrected Outcome
Deep Bite Correction
0.4-3.8mm
33-49%
18-30
Bite Opening Range
Correction Accuracy
Months Treatment






Malocclusion Type
Upper teeth positioned inside lower teeth with functional shift and occlusal interference affecting bilateral function.
Correction Strategy
Arch expansion with transverse correction and elimination of occlusal interferences through controlled tooth movement.
Teeth correctly positioned with functional occlusion. Eliminated mandibular deviation and achieved aesthetic improvement.
Final Outcome
CrossBite Correction

One meeting can transform your workflow
Book your appointment online – it’s quick, easy, and takes less than a minute.
Navigation:
Get in touch:
Rakez compass building Al Shohada Road Al Hamra Industrial Zone- FZ- Ras Al Khaimah UAE
+971566458732
info@smilegenix.ae
© 2025 Smile Genix. All rights reserved.


